In Italia sono stati eseguiti 39 interventi di posizionamento di un'endoprotesi ramificata nel segmento più prossimale dell'aorta, un tratto di difficile gestione. Di questi, i 2 più recenti sono stati eseguiti a Varese negli ultimi dieci giorni.
Si tratta di interventi complessi, ad elevato rischio perioperatorio, che richiedono un importante investimento tecnologico, coinvolgono un'équipe multidisciplinare e molto affiatata e rappresentano l'unica chance di trattamento e cura per i pazienti con estesa patologia all'aorta in presenza di severi fattori di rischio.
Per la precisione, non si tratta di un unico intervento, ma di più momenti tecnici procedurali, uno consecutivo all'altro, che coinvolgono innanzitutto i chirurghi vascolari e i radiologi interventisti, ma anche cardiologi, anestesisti, cardiochirurghi, cardiorianimatori, affiancati naturalmente da strumentisti, nurse di anestesia e dal personale ausiliario di sala, le cui competenze ed elevata professionalità, nonché pronta e reciproca disponibilità interdisciplinare poste al servizio per il paziente, sono risultati elementi essenziali per la loro miglior cura. In termini numerici, una quindicina di professionisti riuniti per oltre cinque ore e mezza intorno al paziente, tra sala di emodinamica e sala operatoria.
I due pazienti operati a Varese sono un uomo e una donna, entrambi ultra-settantenni, entrambi con una complessa patologia del tratto dell'aorta ascendente e dell’arco a rischio imminente di rottura ed il cui profilo di rischio operatorio era pressoché proibitivo, ovvero tale da porre in discussione la possibilità dell'intervento cardiochirurgico per via tradizionale a torace aperto. Per la precisione, la donna è stata sottoposta tre mesi or sono ad un intervento per la sostituzione protesica dell’aorta ascendente a seguito di una sindrome aortica acuta.
L’intervento, eseguito in emergenza dall’equipe della Cardiochirurgia, diretta dal Dott. Andrea Musazzi, ha permesso di salvare la vita della paziente. Nelle settimane seguenti, tuttavia, per la recidiva di dolore toracico, è stata identificata a mezzo di un’angio-TC la progressione della pregressa malattia verso una vera e propria lesione dissecativa dell’arco aortico, un segmento la cui eventuale gestione operatoria è difficile e complessa per le caratteristiche anatomiche ed emodinamiche di quel segmento, curvilineo e da cui originano strutture vitali come i tronchi sovra-aortici per irrorano il cervello e il cervelletto.
“La dissecazione residua dell’aorta in questi casi può essere ancora trattata dal cardiochirurgo, con un reintervento di sostituzione completa dell’arco dell’aorta; un intervento di significativa complessità e gravato da un elevato rischio perioperatorio, in particolar modo nei pazienti ad alto rischio come nei due pazienti trattati - spiega il Prof. Gabriele Piffaretti, chirurgo vascolare che, insieme ai colleghi, i dottori Nicola Rivolta, Marco Franchin e Maria Cristina Cervarolo, tutti chirurghi vascolari della struttura diretta dal Prof. Matteo Tozzi, hanno eseguito gli interventi con l’indispensabile supporto congiunto degli specialisti di Radiologia Interventistica, il Prof. Federico Fontana e il Dr. Filippo Piacentino - Giudicato proibitivo il rischio di un intervento tradizionale, abbiamo quindi valutato collegialmente di poter procedere per via endovascolare, ricorrendo a queste protesi particolarmente innovative sul cui utilizzo abbiamo sviluppato una positiva esperienza, anche grazie alla sinergia condivisa con i Colleghi di Chirurgia Vascolare dell'Ospedale Universitario di Padova".
Entrambi gli interventi sono stati studiati con meticolosità dal gruppo multidisciplinare (Aortic Team) dell'Ospedale di Circolo, che opera all'interno del Dipartimento cardio-toraco-vascolare di ASST Sette Laghi.
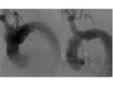
“La sede anatomica delle lesioni trattate richiede il posizionamento di questa speciale endoprotesi molto vicina alle strutture nobili cardiache - spiega il Prof. Gabriele Piffaretti - In questi casi, ed in particolare con questo tipo di endoprotesi, prima di procedere all'intervento vero e proprio si è reso necessario impiantare, ad opera dei cardiologi interventisti, un pace-maker temporaneo.” I pazienti sono stati quindi portati in sala operatoria, dove i chirurghi vascolari hanno eseguito due bypass cervicali per mantenere costante l’irrorazione cerebrale anche dopo il posizionamento della protesi nell'aorta.
Solo a quel punto, insieme ai radiologi interventisti, si è potuti passare ad inserire per via endovascolare la protesi ramificata nel tratto dell'aorta ascendente e dell'arco, un segmento in cui è massima la pressione esercitata dal sangue in uscita dal cuore e le cui pareti si dilatano e si contraggono in sintonia con il ritmo cardiaco.
"Queste protesi sono state studiate per adattarsi al meglio anatomicamente alle sollecitazioni emodinamiche così vigorose in questo primo tratto di aorta toracica’ – continua Piffaretti – Per ridurre tali interferenze indotte dal battito cardiaco e dalla spinta pressoria, e quindi per ottimizzare il posizionamento dell’endoprotesi limitando il rischio di interferire con l’origine delle arterie coronarie o ledere la valvola aortica, è necessario che l’impianto eseguito a quattro mani dal chirurgo vascolare e dal radiologo interventista sia accompagnato in quella fase delicatissima da una fibrillazione cardiaca indotta e regolata dal cardiologo tramite il pace-maker temporaneo".
Entrambi gli interventi sono riusciti perfettamente sotto il profilo tecnico e clinico. Alle delicate fasi intraprocedurali gestite impeccabilmente sotto il profilo anestesiologico dai Dott. Luca Guzzetti e Dott.ssa Dunia D’Onofrio dell’equipe del Dott. Alessandro Bacuzzi, hanno fatto seguito alcuni giorni trascorsi nelle Terapie Intensive del nostro Ospedale, quella Cardiochirurgica del Prof. Paolo Severgnini e quella Multidisciplinare del Prof. Luca Cabrini, dove sono state ottimizzate le fasi immediatamente post-chirurgia prima del rientro in reparto di degenza.
"Senza queste protesi endovascolari di nuova generazione, questi pazienti non avrebbero avuto alternativa di cura. Ma la vera differenza l'hanno fatta i professionisti dell'Aortic Team, che non solo hanno sviluppato una competenza di altissima specializzazione, ma hanno anche creato una squadra perfettamente consapevole del ruolo e dell'importanza di ciascuna componente, che lavora davvero all'unisono sul paziente - spiega la Dott.ssa Battistina Castiglioni, Direttore del Dipartimento cardio-toraco-vascolare - Il nostro dipartimento è stato istituito proprio per catalizzare queste collaborazioni e questi percorsi, che fanno la differenza per i nostri pazienti".
La Chirurgia Vascolare di Varese si conferma punto di riferimento per la chirurgia di ricostruzione protesica ed endovascolare dell’aorta. Ogni anno in Lombardia sono circa 130 le endoprotesi complesse impiantate per la patologia estensiva dell'aorta. Di queste, una decina all'Ospedale di Circolo di Varese.















